Skip to content

FLAVOUR FOOD

Menu
Menu

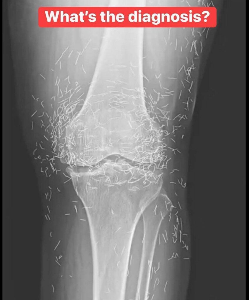
A 65-year-old woman came to the clinic after experiencing months of chronic knee pain.

Posted on April 2, 2026 by Admin

Here’s a structured way to think about a 65-year-old woman with months of chronic knee pain:


1️⃣ Common Causes

  1. Osteoarthritis (OA) – Most likely in this age group.
    • Symptoms: pain worsens with activity, stiffness in the morning or after rest, swelling.
  2. Rheumatoid arthritis (RA) – Less common but possible.
    • Symptoms: symmetrical joint pain, swelling, fatigue.
  3. Meniscus or ligament injury – Often after a prior injury.
    • Symptoms: swelling, clicking, instability.
  4. Bursitis or tendinopathy – Overuse or inflammation of soft tissue.

2️⃣ Risk Factors

  • Age >60
  • Obesity
  • Prior knee injuries
  • Family history of arthritis

3️⃣ Key Evaluation Steps

  • History: duration, severity, triggers, morning stiffness, previous injuries
  • Physical exam: range of motion, swelling, tenderness, deformity
  • Imaging: X-ray for osteoarthritis, MRI if soft tissue injury suspected
  • Labs: Blood tests if inflammatory arthritis is suspected (e.g., RA)

4️⃣ Initial Management

  1. Lifestyle modifications
    • Weight management
    • Low-impact exercises (swimming, cycling)
  2. Medications
    • Acetaminophen or NSAIDs for pain
    • Topical anti-inflammatory creams
  3. Supportive devices
    • Knee brace or supportive footwear
  4. Physical therapy
    • Strengthening quadriceps, hamstrings, and hip muscles

5️⃣ When to Consider Referral

  • Persistent pain despite conservative management
  • Significant swelling, instability, or deformity
  • Suspected inflammatory arthritis or need for joint replacement evaluation

If you want, I can make a step-by-step home plan for managing knee pain in older adults that can reduce pain and improve mobility without immediate surgery.

Do you want me to do that?

Leave a Reply Cancel reply

Your email address will not be published. Required fields are marked *

Recent Posts

  • How to relieve joint, muscle, and rheumatic pain with bay leaf tea
  • If your HANDS fall asleep it’s a clear sign that you have can…
  • The 10 Metoprolol Side Effects Your Doctor is PRAYING You Don’t Discover
  • Doctors warn that consuming ginger can cause…
  • Could This Simple Daily Habit Support Your Vision as You Age?

Recent Comments

No comments to show.

Archives

  • April 2026
  • March 2026

Categories

  • blog
©2026 FLAVOUR FOOD | Design: Newspaperly WordPress Theme